El término de hipomineralización idiopática del esmalte se dio en Suecia a fines de los años setenta según Koch et al. (1987), mientras que Hipomineralización Incisivo Molar (Molar Incisor Hypomineralization MIH por sus siglas en inglés, HIM en español) fue acuñado por Weerheijm y Mejàre en el 2001 y aceptado en 2003 por la Academia Europea de Odontopediatría en Atenas, Grecia, utilizándose desde ese momento para describir una condición caracterizada por la hipomineralización -de origen sistémico- del esmalte, que afecta desde una hasta las cuatro primeras molares permanentes, y que se puede asociar con la presencia de opacidades o defectos en los incisivos permanentes. La afectación simultánea de molares e incisivos se considera la forma más severa de hipomineralización.
Estas se pueden clasificar según el grado de severidad en tres grados:
Grado 1: Leve
Opacidades aisladas bien delimitadas en áreas sin carga o estrés masticatorio. Ausencia de pérdida de tejidos duros. No hay caries asociada con el defecto de esmalte. No hay hipersensibilidad. Cuando se presenta en los incisivos, la alteración es leve.
Grado 2: Moderada
Opacidades bien delimitadas en incisivos o molares en el tercio oclusal y/o incisal que afecta a una o dos superficies, sin involucrar las cúspides y sin fractura del esmalte al erupcionar aunque puede ocurrir post-eruptivamente debido a la función. Presencia de restauraciones atípicas intactas. Hay compromiso estético y la sensibilidad es normal.
Grado 3: Severa
Pérdida post-eruptiva del esmalte y fracturas. Presencia de caries extensas asociadas al esmalte defectuoso y/o presencia de restauraciones típicas defectuosas, con compromiso de la estética e hipersensibilidad.
Según el color que presentan se pueden categorizar en:
Aspecto
Características
Código
Normal
0
Leve:
Blanco crema
Menos porosas. Se localizan en el interior del esmalte.
1
Moderado:
Amarillo-marrón
Son más porosas y ocupan todo el espesor del esmalte.
2
Severo:
Pérdida del esmalte
El esmalte hipomineralizado se fractura debido a su fragilidad y escaso espesor, desprotegiendo la dentina
3
Según el color que presentan se pueden categorizar en:
El diagnóstico de estas lesiones es muy importante, pues en ocasiones se encuentra generalizado y según el nivel de afección el odontopediatra puede actuar a tiempo y brindarle al paciente el mejor tratamiento.
Las resinas infiltrantes se están utilizando cada vez más de forma preventiva y estética, en el caso de la HIM, según el grado de severidad esta puede ayudar a obtener la estética y aumentar la resistencia del esmalte afectado, así mismo, se puede combinar con tratamiento complementarios para lograr un mejor resultado.
Presentación del caso
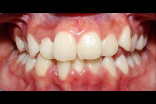
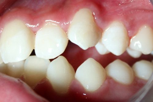
Paciente femenino de 15 años de edad que presenta una hipomineralización incisivo molar (HIM) de grado moderada código 2 y caries incipiente en el O.D. 23 en la cara vestibular. Se encuentra aparentemente sana sistémicamente.
Se utilizó una lámpara para transiluminación Radii plus de SDI, la cual cuenta con una punta de diagnóstico con un led blanco que da dos intensidades, se observa que la luz no atraviesa la zona afectada, (esto quiere decir que la lesión es muy profunda y no podrá ser infiltrada con icon, por lo que se decide arenar o utilizar microabrasión).
Se realizó aislamiento absoluto.
Se decidió utilizar un aeropulidor con bicarbonato Detarfar de Eufar por 1 minuto, con la finalidad de remover el tejido afectado.
Se observó que una cavidad se había formado, los bordes de esta se grabaron con Icon etch por 2 minutos.
Se aplicó Icon Dry por 30 segundos.
Con la ayuda de un microbrush se aplicó el Icon infiltrant, frotando durante 3 minutos, posteriormente se polimerizó durante 40 segundos.
Se colocó por segunda vez Icon infiltrant en el contorno de la cavidad, pero solo por un minuto y se polimerizó por 40 segundos.
En la cavidad se colocó una resina compuesta, se le pulió con discos de lija superfix y se le dio brillo con un disco de fieltro impregnado con pasta Polimax de TDV.
Resultado final
La resina infiltrante Icon, se puede utilizar como complemento a tratamientos más invasivos, en casos donde se cuenta con lesiones blancas de poca profundidad.
Caso Clinico asesorado por la Esp. Rebeca Chimal Uscanga.




















