El desgaste dental por erosión es un problema grave de costosas consecuencias, pero también puede darse por la combinación de otras etiologías como la abrasión o la atrición. La detección precoz de las lesiones en fase inicial es de vital importancia para evitar situaciones irreversibles, pudiendo detener el desgaste y hasta conservar según sea el caso la estructura dental remanente.
CASO CLÍNICO
Paciente masculino de 39 años de edad, funcionario público en el área de seguridad, se presenta a la clínica dental. El motivo de su consulta según expresa: “Se me fracturan constantemente mis restauraciones”. Como resultado de la anamnesis refirió ser diabético desde hace 23 años controlándose con insulina inyectada de 30 unidades cada 12 h, metformina cada 8 h y glibenclamida cada 24 h; es hipertenso controlado desde hace 10 años con nifedipino; padece hipotiroidismo controlado; en 2019 se sometió a una cirugía de bypass gástrico debido al sobrepeso; toma diazepam, clonazepam y alprazolam, media pastilla cada 24 h; es alérgico a la ceftriaxona; antecedentes del síndrome de Stevens-Johnson (es un proceso agudo poco frecuente, es una dermatosis reactiva consistente en un eritema multiforme con presencia de vesículas y/o ampollas en mucosas sobre todo oral, con una morbimortalidad próxima al 20%. Su presentación más severa es la necrólisis epidérmica tóxica. La causa más frecuente es la hipersensibilidad a múltiples fármacos, seguido de infecciones, enfermedades del tejido conectivo y neoplasias).
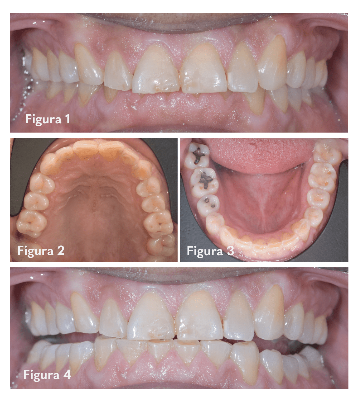
A la exploración clínica se observa un desgaste en las caras palatinas del 13-23 que involucra el esmalte y la dentina con un deterioro en el borde incisal menor a 2 mm por lo que se le cataloga en clase 3 de ECA (clasificación de erosión anterior), resinas con filtración en los O. D. 11, 11 y 22 (Fig. 1 y 2). También en los bordes incisales de 3 mm en los O. D. 33-43 con presencia de mordida profunda anterior, por lo que la dimensión vertical se encuentra disminuida. Se suman lesiones cariosas de mínima invasión en los O. D. 16, 17, 25 y 26, resinas 36 y 37, amalgamas con filtración en los O. D. 45, 46 y 47, desgaste en cúspides de los segundos premolares y primeros molares, una lesión cervical no cariosa en el O. D. 44, así como una hiperplasia en las papilas inferiores como consecuencia del nifedipino. A la palpación, expresa molestia en la inserción del masetero y temporales con limitación de la apertura de 20 mm.
Refiere que tres años atrás terminó su tratamiento de ortodoncia.
PLAN DE TRATAMIENTO
Fase 1
Operatoria únicamente de las lesiones cariosas y restauraciones deficientes.
Aumento de la dimensión vertical disminuida, previo encerado diagnóstico para lograr la estabilidad ocluso-muscular.
Fase 2
Rehabilitación con restauraciones palatinas y vestibulares en el sector anterosuperior.
Resinas en los bordes incisales de los centrales inferiores.
Incrustaciones “table tops” en los molares y premolares.
Procedimiento
Se tomaron impresiones de silicona de adición en el paciente para copiar mayor detalle (Fig. 5 y 6). De esas impresiones se obtuvieron cuatro modelos en yeso tipo IV.
Se articularon los modelos en un articulador Bioart en relación céntrica y se aumentó la DV 5 mm en anteriores para poder realizar un encerado funcional; de este se obtuvieron llaves de silicona tanto del maxilar superior como del maxilar inferior con siliconas de adición para copiar mejor los detalles. (Fig. 7).
EN EL PACIENTE
Se empezaron a acondicionar todas las superficies de esmalte con discos de pulir Praxis (TDV). Se hizo un grabado selectivo en esmalte por 20 s, se lavó y secó para colocar el adhesivo universal en cada uno de los órganos dentales por otros 20 s, se aireó y pasó un hilo interdental antes de fotopolimerizar por 20 s cada uno de los órganos de la arcada superior.
Una vez acondicionada la superficie se procedió a inyectar el LuxaCrown en la llave de silicón (Fig. 8 y 9) con un tiempo de mezclado de 40 s y un período en boca de 2.20 s para su polimerización, luego de retirar la guía se removieron los excedentes no adheridos con un cucharilla y discos de pulido, previa limpieza con una gasa embebida con alcohol, y después que transcurrieron 5 min desde que se inició la mezcla vino el ajuste oclusal por medio de fresas multilaminadas y papel articular; se repitió el mismo procedimiento en el maxilar inferior.
El paciente lleva aproximadamente un mes con el prototipo hecho de LuxaCrown y el material sigue en boca funcionando. Las molestias musculares han disminuido y la apertura bucal aumentó. Permanecerán un par de meses más con provisionales para seguir con el tratamiento final. (Fig. 9, 10, 11, 12 y 13).
CONCLUSIÓN
Recuperar la dimensión vertical oclusal (DVO) en este tipo de pacientes es un gran reto, ya que no existe una dimensión vertical única, por lo que devolver esta con base en las proporciones requiere de una fase provisoria de larga duración a fin de recobrar la estabilidad oclusal y muscular antes de pasar a restaurarla de manera definitiva, por tanto, LuxaCrown es una excelente opción debido a sus propiedades como lo son: resistencia a la fractura y estabilidad de color.
REFERENCIAS BIBLIOGRÁFICAS
Mazurkiewicz, P., Oblizajek, M., Rzeszowska, J., Sobolewska, E., Eychmielewska, H. & Szymanska-Kozula, R. (2019). Determinación del plano oclusal. Una revisión de la literatura. Cranio.
Dietschi, D. & Saratti, C. M. (2020). Interceptive treatment of tooth wear: A revised protocol for the full molding technique. Geneva, Switzerland.
Ammannato, R., Ferraris, F. & Marchesi, G. (2015). The “index technique” in worn dentition: A new and conservative approach. The international journal of esthetic dentistry. 10 1: 68-99.
Saratti, C. M., Merheb, C., Franchini, L., Rocca, G. T. & Krejci, I. (2020). Full-mouth rehabilitation of a severe tooth wear case: A digital, esthetic and functional approach. The international journal of esthetic dentistry. 15 3: 242-262.
Hemmings, K., Darbar, U. & Vaughan, S. (2000). Tooth wear treated with direct composite restorations at an increased vertical dimension: Results at 30 months. The Journal of prosthetic dentistry. 83 3: 287-93.
Alejandri-Gamboa, J. & Gómez-Moreno, E. Y. (2020). Bruxismo nocturno y síndrome de dolor miofascial.
Grütter, L. & Vailati, F. (2013). Full-mouth adhesive rehabilitation in case of severe dental erosion, a minimally invasive approach following the 3-step technique. The European journal of esthetic dentistry: Official Journal of the European Academy of Esthetic Dentistry. 8 3, 358-75.
AUTORAS
Eva Leticia Rodríguez Ríos
Cirujano Dentista
Cédula profesional: 10573278
Araceli Salazar Espinoza
Especialista en Rehabilitación Oral
Cédula profesional: 4326839







