El fluoruro de diamina de plata (DFP) es un recurso importante para paralizar las lesiones cariosas en los dientes primarios. La asociación de flúor y plata puede mejorar la remineralización…
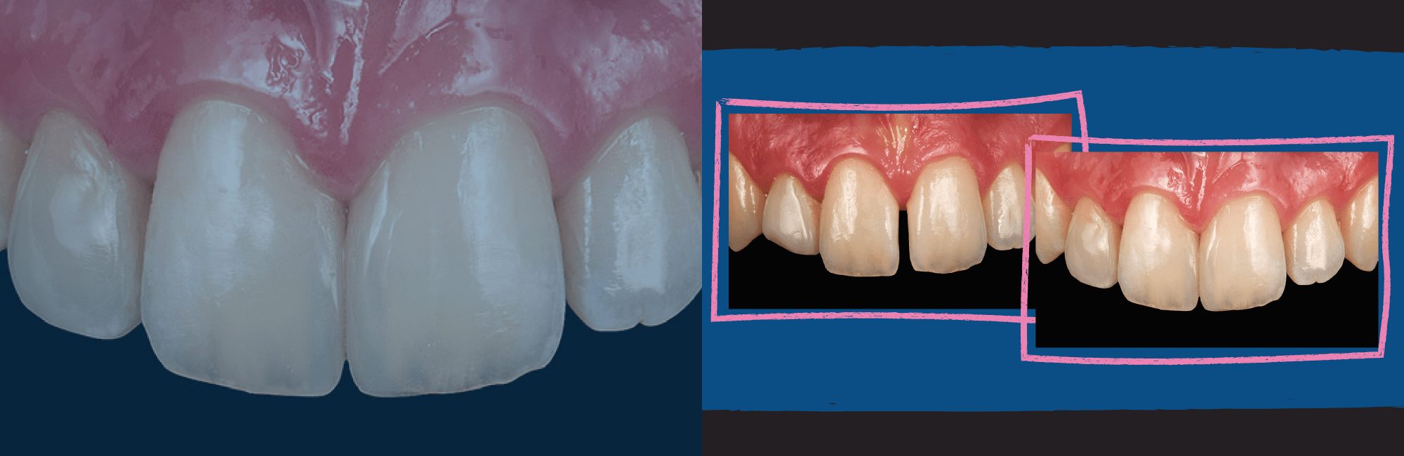
Un paciente masculino de 22 años se presenta en la clínica con la intención de mejorar su sonrisa, debido a que no le gusta el espacio entre los dientes 1.1…
Paciente femenino de 65 años, comerciante, originaria de Tequila Jalisco, se presenta al departamento de periodoncia e implantología derivada por el departamento de prostodoncia. El motivo de su derivación fue…
Introducción El concepto de infiltración se utiliza, principalmente, para infiltrar lesiones hipomineralizadas en el esmalte. Cuando estas lesiones se extienden a la superficie del esmalte y generan irregularidades, un tratamiento…
En la actualidad, la ROG se utiliza para aumentos de cresta horizontales y verticales; en este sentido, se ha comprobado que es una técnica replicable y con una alta tasa…
En este punto, la acción de la Odontología forense se vuelve una prioridad cuando se encuentran múltiples cuerpos no identificados en sitios ilegales de depósito, como fosas clandestinas, cerros, lagos…
El reto de la rehabilitación completa en Prostodoncia, requiere de un amplio conocimiento y manejo de los conceptos de prótesis fija en cuanto a la calidad y cantidad de los…
Paciente femenino de 20 años, estudiante de licenciatura en Médico Veterinario, originaria de Guadalajara, Jalisco se presenta a la clínica dental. El motivo de su consulta de acuerdo con ella…
Durante el periodo de formación del diente la célula formadora de esmalte, conocida como ameloblasto, produce una matriz proteica que luego se calcifica, lo cual conocemos como esmalte. Una vez…
Desde su introducción hace más de 50 años, el injerto de tejidos blandos se ha utilizado cada vez más en la práctica clínica para aumentar el grosor del tejido, restablecer…